method獸用B超機使用方法及圖解,動物/寵物B超機使用方法講解
豬用b超使用方法_豬用b超機
豬用b超機操作注意事項_豬用b超機
豬用B超機實景教學—受孕、背膘b超檢查
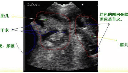
獸用B超機_懷孕母豬B超圖像講解
獸用B超機使用方法--母豬妊娠檢測
大為寵物醫療(江蘇)有限公司 版權所有 蘇ICP備2021042630號-1
蘇公網安備 32039102000306號
18796276300